Palito VS Fio dentário
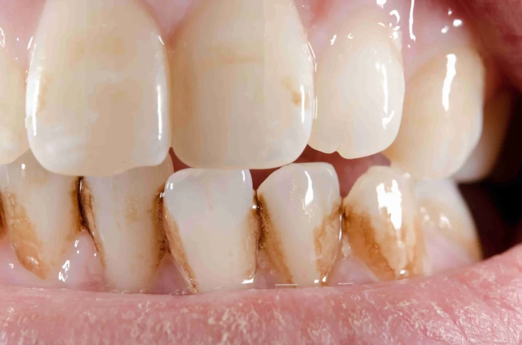
Palito VS Fio dentário Segundo a literatura, o uso de dispositivos interdentários é tão importante como o uso da escova dentária. Apesar de grande parte da população não utilizar este tipo de meio auxiliar de escovagem, tem-se que o fio dentário é o método mais eficaz na remoção de biofilme neste tipo de zona, prevenindo fenómenos de inflamação gengival e cárie interproximal. Encontram-se disponíveis no mercado fios: Torcido ou não torcido; Com ou sem flúor; Encerado ou não encerado; As recomendações devem ser baseadas na facilidade de uso e na preferência pessoal Palito O seu uso é desaconselhado sendo possível ver em muitos pacientes que o usam, a destruição da papila e da estrutura dentária, assim como provocar que as restaurações feitas pelo dentista saltem. Dada a sua natureza, é tão duro que ou força a passagem destruindo, ou parte. Flosspick Tem flexibilidade e não força a passagem em demasiado. Fio dentário Muito mais eficaz e deve ser introduizdo até à zona não aderida. Muitas vezes os pacientes acham que é só para atravessar o ponto de contacto e remover restos de comida, mas o objetivo da sua utilização diária é a higienização da gengiva. Deve-se usar o mais grosso que conseguirmos para passar entre os dentes para que o contacto seja maior possível com as superfícies. Fio, fia ou expansor A ideia é usar o que couber, se o espaço for muito apertado não irá caber um escovilhão, então usa-se o fio dentário, se couber a fita usamos a fita, se sobrar espaço usa-se o fio expansor e se o fio expansor andar a nadar usa-se o escovilhão.










