Lesões não cariosas
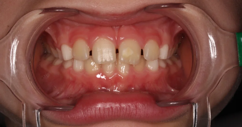
Lesões não cariosas Lesão de Abrasão – Têm forma côncava Lesão de Abfração – Têm forma de V. Podem confundir-se com lesões de Abrasão Lesão de Erosão – Lesões amareladas e com perda de brilho nas superícies e que se podem estender a todos os dentes Lesão de Atrição Há muitas lesões que nada, ou muito pouco têm a ver com a cárie dentária… A lesão não cariosa (LNC) é definida como a perda da estrutura dentária, originada a partir de mecanismos não relacionados com o processo de cárie. Em que zonas costumam frequentemente aparecer? Na zona de transição entre a coroa do dentes e a raiz, precisamente por encontrarmos nessa zona um esmalte dentário mais fino e menos resistente; Na região oclusal e incisal (nas zonas dos dentes que mastigam e cortam os alimentos). Então que lesões não cariosas existem? Abrasão Abfração Erosão Atrição Lesões de abrasão Perda progressiva da estrutura do dente, provocada por agressões mecânicas repetidas, pro exemplo: Por uma incorreta escovagem dentária; Utilização de escovas dentárias com cerdas duras; Pastas dentífricas demasiado abrasivas; Forças excessivas de ganchos de próteses dentárias; Fumar cachimbo, abrir ganchos de cabelo com a boca, tocar instrumentos musicais de sopro… Lesões de abfração Normalmente resulta de um excesso de forças na zona dos dentes que mastigam. Podem também ocorrer quando existe falta de dentes posteriores e são usadas próteses dentárias desadaptadas. Lesões de erosão As lesões de erosão são cada vez mais prevalentes na população. Resultam do desgaste dentário por dissolução ácida de origem não bacteriana, ou seja, devido à ingestão frequente de: Bebidas cítricas (limonadas); Bebidas gaseificadas (coca-cola); Abuso nos pickles; Bebidas dietéticas, etc. Vómitos frequentes ou regurgitação do conteúdo gástrico pode também ser um fator para o aparecimento destas lesões. Lesões de atrição A atrição pode ser definida como o desgaste fisiológico da superfície do dente ou restauração causada pelo contacto de um dente com outro, durante processos de mastigação ou parafunção, como é o caso do bruxismo, podendo ocorrer tanto na dentição decídua como na permanente. Quais os tratamentos disponíveis? O tratamento passa por 3 etapas. A 1ª, chamada prevenção primária, passa pela alteração dos fatores que levam ao aparecimento destas lesões: seja pela troca da escova dentária, que já não se encontra em condições de uso, seja pela re-aprendizagem do método de escovagem, escovando com menos força e utilizando uma escova de cerdas macias. A 2ª etapa é dirigida para o tratamento sintomático destas lesões, que passa por exemplo pela aplicação de um verniz de flúor ou aplicação de dessensibilizantes. Por fim, a 3ª etapa quando há perda da estrutura dentária, risco de exposição pulpar, sensibilidade dentária ou a localização da lesão compromete a realização ou estabilidade de uma prótese removível, dever-se-á proceder ao tratamento restaurador. Referências bibliográfica: Silva MJ, Melo P, Tratamento de lesões dentárias cervicais. In: Ramos JC. Estética em Medicina Dentária. 2009: 76-83. Pierre Fabre Oral Care. Abrasão Dentária. [Internet]. 2023. [citado a 20 de dezembro de 2023] Disponível em: https://www.pierrefabre-oralcare.com/pt-pt/rotinas-de-aconselhamento/saude-dentaria/desgaste-dentario/abrasao-dentaria de Macedo Amaral S, da Costa Abad E, Maia KD, Weyne S, Pinto Basílio De Oliveira MD, et al. Lesões não cariosas: O desafio do diagnóstico multidisciplinar. International Archives of Otorhinolaryngology. [Internet]. Março de 2022; 16(1): 96-102. Disponível em: https://doi.org/10.7162/S1809-48722011000100014 Neto V. Lesões cervicais de origem não cariosa: multifatoriedade etiológica. [Internet]. Instituto Superior de Ciências da Saúde Egas Moniz. 2012 [citado 20 de dezembro de 2023]. Disponível em: https://estudogeral.uc.pt/bitstream/10316/36811/1/tese%20de%20mestrado%20JoanaCoutinho.pdf










